Give the gift of a beautiful smile! - GIFT CARDS NOW AVAILABLE
Book Now
Make Payment
New Patients:
(410) 202-8097
Existing Patients:
(410) 833-8380
Our Office
11813 Reisterstown Rd
Reisterstown
,
MD
21136
New Patients:
(410) 202-8097
Existing Patients:
(410) 833-8380
Visit Us Online
Home
Meet the Doctors
Alex Fishman, DDS
Denise Hidan, DDS
About Us
Mission & Vision
Our Office
Office Tour
New Patients
Sedation
Gift Cards
Our Community
Services
Emergency Treatment
Extractions
Night Guards
Oral Cancer Screening
Oral Exams
Pediatric Dentistry
Periodontal Treatment
Preventative Program
Root Canals
Sedation Dentistry
Sleep Apnea
Snoring Appliances
Sports Mouthguards
TMJ Disorders
All-on-4®
All-on-6®
Dental Bridges
Dental Fillings
Dentures
Implant Dentistry
Implant Restorations
Botox®
Ceramic Crowns
Cosmetic Dentistry
Teeth Whitening
Veneers
Air Abrasion
CBCT
Digital Impressions
Digital Radiography
Laser Dentistry
ClearCorrect®
Invisalign®
Reviews
Media
Dental Library
Smile Gallery
Dental Videos
Contact Us
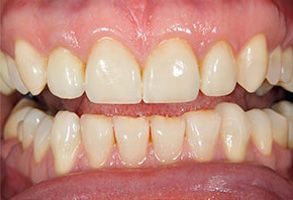
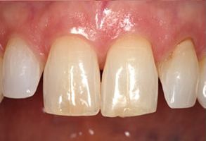
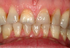
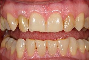
Dentistry Before and After Photos in Reisterstown
Before
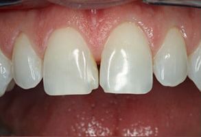
After
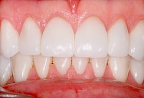
Before
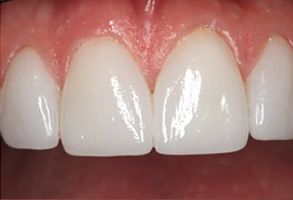
After
Before
After
Before
After
Before
After
Before
After
Before
After
Our Office
11813 Reisterstown Rd
Reisterstown
,
MD
21136
New Patients:
(410) 202-8097
Existing Patients:
(410) 833-8380
Visit Us Online
© 2026 Brilliant Smiles of Maryland. All Rights Reserved. |
Accessibility Policy
Dentist Website Design
Book Now